
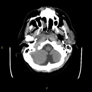
A mega-cisterna magna, is a controversial entity among experts. In general however, the term is applied to non-pathological prominance (usually exceeding 10 mm in antenatal imaging) of the retro-cerebellar CSF space and not associated with cerebellar abnormalities. There is a normal vermis and normal cerebellar hemispheres.
Epidemiology
A mega cisterna magna is thought to occur in approximately 1% of all brains imaged postnatally.
Associations
Especially if noted antenatally, a mega cisterna magna has been associated with
- infarction
- inflammation and infection (e.g. Cytomegalovirus)
- chromosomal abnormalities (e.g. trisomy 18)
Radiographic features on CT
Typically seen as prominent retrocerebellar cerebrospinal fluid (CSF) appearing space with a normal vermis and normal cerebellar hemispheres.
Legacy
The term was first coined by Gonsetteet al in 1968, in patients with cerebellar atrophy.

Differential diagnosis
Differential is among other causes of an enlarged retro-cerebellar CSF space, including:
- arachnoid cyst
- epidermoid cyst
- cerebellar atrophy/cerebellar hypoplasia
- Dandy-Walker malformation










