A condition less known…
Dextrocardia situs inversus refers to a condition in which the heart is a mirror image of normal placement. With dectrocardia the main mass of the heart sits right of the mediastinum. When all visceral organs are mirrored the condition is dextrocardia situs totalis.
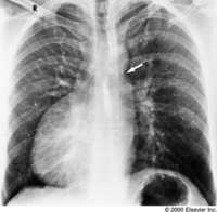
The above chest X-ray is not reversed, that is a patient with dextrocardia.
All of the heart chambers and great vessels are reversed, as seen above.
Left Ventricle (LV), Right Ventricle (RV), Left Atrium (LA), Right Atrium (RA), Pulmonary Artery (PA), Aorta (Ao).

As you can imagine, there are multiple ECG changes found on the patient with dextrocardia. If you know the patient has this condition, it may be in your best interest to mirror normal electrode placement.
Take a look at some 12-leads of dextrocardic patients below:
Notice the obvious change in axis. A negatively deflected lead I would indicate right axis deviation. When leads II & III become deflected in addition, this would indicate extreme right axis deviation (ERAD). ERAD is most often seen when impulses originate in the ventricles as with ventricular tachycardia, or ventricular pacemakers. ERAD may appear with dextrocardia.
When you see a negative QRS in lead I, and a positive QRS complex in aVR, you should first suspect misplaced leads. If they are placed correctly, dextrocardia should enter your differential.
Common ECG findings:
not all of these are always present
– Global negativity in lead I, (a negative p wave, QRS, and negative T wave).
– Positively deflected QRS in aVR
– Negative p wave in lead II
– Reverse R wave progression in precordial leads

– Marden-Walker Syndrome: A rare genetic disorder characterized by blepharophimosis, joint contractures and fixed facial expression.
– Kartagener syndrome: A rare genetic disorder characterized by enlarged bronchial tubes, sinusitis and cross-positioning of body organs.
– Campomelia Cumming type: A rare syndrome characterized by limb and multiple abdominal organ abnormalities. The disorder results in death before birth or soon after.
Things to consider:
So, if you ever have the idea that the ECG you are looking at, looks as if your leads are all reversed, maybe the heart is.
When defibrillating these patients, traditional pad placement should be mirrored to the right chest. Anterior/posterior placement should be just right of the mediastinum.