
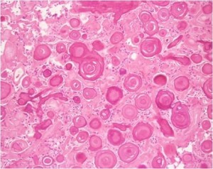
Psammoma body (derived from the Greek word psammosmeaning “sand”) is a round collection of calcium, seen microscopically. They usually have a laminar appearance; are circular, acellular and eosinophilic in histology.
In which diseases does Psammoma Bodies found?
Many students get confused to remember this part; speaking of remembering the MOST COMMON diseases in which they are found one can remember a mnemonic “PSAM”
- Papillary thyroid & renal carcinoma, serous cytadenocarcinoma of the ovary, serous carcinoma of the endometrium
- Prolactinoma of the pituitary
- Serous Carcinoma
Somatostatinoma of the pancreas - Adenocarcinoma of the ovaries
- Meningioma
Mesothelioma
Features of Psammoma Bodies
- They are mineralized bodies composed usually of a central capillary surrounded by concentric whorls in various stages of hyaline change and mineralization
- They can occur in benign and malignant epithelial tumors (such as papillary ovarian or thyroid carcinoma)
Synonyms
- Sand bodies
- Corpora arenacea
- Calcospherite










